GÃY CHỎM QUAY
I. ĐỊNH NGHĨA
Là sự phá huỷ đột ngột các cấu trúc bên trong của xương do nguyên nhân cơ học xảy ra tại chỏm quay (25 mm đầu trên xương quay)
II. XUẤT ĐỘ
Gãy chỏm quay chiếm 1,5-4% trong các loại gãy xương và 20% trong tất cả gãy xương vùng khuỷu
III. PHÂN LOẠI
Phân loại gãy chỏm quay theo MASON
MASON I: Gãy phạm khớp, mảnh gãy ít di lệch
MASON II: Mảnh gãy di lệch > 2mm hoặc gập góc
MASON III: Gãy nát nhiều mảnh gây kẹt khớp khi vận động
MASON IV: Gãy kèm trật khớp khuỷu

IV. CHẨN ĐOÁN
l. Triệu chứng lâm sàng:
-Sưng nhiều phía ngoài khuỷu, đau chói khi ấn, gấp duỗi và sấp ngửa hạn chế. Thỉnh thoảng vận động gây ra tiếng lạo xạo xương tế nhị, người bệnh cũng cảm nhận được.
-Nếu cổ tay đau có thể là lỏng khớp quay trụ duới cấp tính với tổn thương màng liên cốt và sụn sợi tam giác: Tổn thương ES SEX LOPRESTI
2. Cận lâm sàng:
-XQ khuỷu tư thế thẳng nghiêng, CT scan hoặc MRI
V. BIẾN CHỨNG
Các biến chứng được chia thành 2 loại chính:
-Biến chứng liên quan đến gãy xương (sốc, chèn ép khoang, gãy hở...) ít xảy ra với độ I và II
-Biến chứng sau khi cắt bỏ chỏm: Mất sức cầm nắm chặt, đau cổ tay, mất vững khuỷu, vẹo khuỷu ngoài, tạo xương lạc chổ, viêm khớp ròng rọc mỏm khuỷu, giảm gấp duỗi khuỷu và giảm sấp ngữa cẳng tay.
VI. ĐIỀU TRỊ
-Sơ cứu: Giảm đau bằng paracetamol hay Nsaid, nẹp bột cánh bàn tay, hoặc nẹp gỗ cố định
-Bảo tồn: Bó bột cánh bàn tay và tập vận động sớm với Masson I và II
-Phẫu thuật: KHX bằng kirschner hoặc vis, KHX bằng nẹp vis, lấy bỏ chỏm quay hay thay chỏm quay nhân tạo đối với Masson III và IV.
GÃY MỎM KHUỶU
I. ĐỊNH NGHĨA:
Mỏm khuỷu là phần đầu trên của xương trụ, cùng vói mỏm vẹt tạo thành hõm Zigma lớn. Gãy mỏm khuỷu là gãy xương phạm khớp
II. XUẤT ĐỘ:
Gãy mỏm khuỷu là một loại gãy xương nội khớp chiếm tỉ lệ không lớn trong chấn thương, 5,65% trong tổng số các loại gãy xương nội khớp (theo Bracq&Sofcot 1986).
III. PHÂN LOẠI:
Phân loại theo Schatzer, phân loại này tính đến khả năng điều trị bằng cách kết hợp xương khác nhau.
-Gãy ngang
-Gãy ngang có lún, vỡ mảnh nhỏ
-Gãy chéo
-Gãy nát
-Gãy chéo xa
-Gãy trật

IV. CHẨN ĐOÁN
1. Lâm sàng:
-Sưng, đau, hạn chế động tác duỗi khớp khuỷu, không duỗi được cẳng tay hoàn toàn. -Đau chói mỏm khủy. Giản cách giữa 2 đầu gãy. Di động đoạn trung tâm. Đường Hunter thay đổi. Tam giác Hunter thay đổi (đão ngược).
2. Cận lâm sàng:
XQ khuỷu tư thế thẳng nghiêng, CT scan hoặc MRI
V. BIẾN CHỨNG
Các biến chứng thông thường của gãy mõm khuỷu là không liền xương, hạn chế duỗi khuỷu, thoái hóa khớp do mặt khớp cấp kênh, đau do cộm dụng cụ kết hợp xương, cứng khuỷu, viêm cơ cốt hóa quanh khớp khuỷu
VI. ĐIỀU TRỊ
Sơ cứu: Giảm đau bằng paracetamol hay Nsaid, nẹp bột cánh bàn tay, hoặc nẹp gồ cố định
1. Bảo tồn:
Nếu gãy không di lệch có thể bó bột hoặc nẹp ở tư thế khuỷu gập khuỷu nhưng phải kiểm tra XQ sau 7-10 ngày để biết chắc không di lệch thứ phát
2. Phẫu thuật:
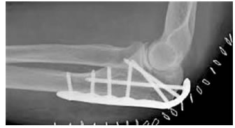
Néo chỉ thép hình số 8, bắt ốc xốp, xuyên đinh kirschner và néo chỉ thép, nẹp vis hoặc cắt bỏ phần mõm khuỷu gãy nát, tái tạo hố sigma lớn.

GÃY MONTEGGIA
I. ĐỊNH NGHĨA :
Gãy 1/3 trên xương trụ kèm trật khớp quay trụ trên
II. XUẤT ĐỘ :
Theo Bado, Boy và Bloals, gãy Monteggia kinh điển chi chiếm 60% và đưa ra phân loại đầy đủ về “ tổn thương Monteggia”, tổn thương tất yếu
III. PHÂN LOẠI
Phân độ của Bado gồm 4 loại
-Loại I: Chỏm quay trật ra trước, xương trụ gãy gập góc ra trước, chiếm 60% trường hợp.
-Loại II: Chỏm quay trật ra sau hoặc sau ngoài, xương trụ gãy gập góc ra trước chiếm 15%.
-Loại III: Chỏm quay trật ra ngoài hoặc trước ngoài, gãy vùng hành xương ở đầu trên của xương trụ chiếm 20%.
-Loại IV: Chỏm quay trật ra trước kèm gãy thân cả hai xương quay và trụ.
Hoặc có thể chia gãy Monteggia thành 2 thể:
-Thể ưỡn: Chỏm xương quay trật ra trước, xương trụ gãy gập góc mở ra sau. (hay gặp)
-Thể gấp: Chỏm xương quay trật ra sau, xương trụ gãy gập góc mở ra trước. (ít gặp)

IV. CHẨN ĐOÁN
1. Lâmsàng:
Dấu hiệu gãy xương trụ:
-Sưng đau 1/3 trên xương trụ.
-Biến dạng gập góc mở ra sau (thể ưỡn) hoặc mở ra trước (thể gập) đôi khi chỉ thấy biến dạng khi sờ dọc 1/3 trên xương trụ.
-Dấu hiệu trật khớp quay-trụ trên: thể hiện qua trật khớp cánh tay-quay hay trật chỏm quay: chỏm quay không còn ở vị trí bình thường (ở trước mỏm trên lồi cầu khi khuỷu gập và dưới mỏm này khi khuỷu duỗi). Bệnh nhân bị hạn chế sấp ngửa cẳng tay.
2. Cận lâm sàng:
X-Quang:
Phim X-quang xác định có gãy xương trụ 1/3 trên và trật chỏm xương quay (mất khe khớp cánh tay – quay)
V. BIẾN CHỨNG
-Cal lệch, khớp giả xương trụ.
-Chỏm xương quay còn di lệch, bệnh nhân bị mất chức năng sấp ngửa cẳng tay và không gập khuỷu tối đa được.
-Cứng khớp khuỷu: do nhiều nguyên nhân làm cốt hoá quanh khớp
VI. ĐIỀU TRỊ
Sơ cứu: Giảm đau bằng paracetamol hay Nsaid, nẹp bột cánh bàn tay, hoặc nẹp gỗ cố định
1. Bảo tồn:
Điều trị bảo tồn có thể giải quyết hết các gãy Monteggia ở trẻ em và các gãy mới ở người lớn
2. Phẫu thuật:
Các trường hợp nắn thất bại, hay gãy muộn. KHX nẹp vis xương trụ hay đinh Rush, nắn khớp quay trụ trên bó bột tăng cường nếu trật lại thì xuyên kim giữ hay tái tạo dây chằng vòng
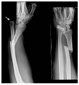
GÃY GALEAZZI
I. ĐỊNH NGHĨA
-Gãy Galeazzi = Gãy 1/3D thân xương quay có di lệch gập góc/di lệch chồng + Sai khớp quay trụ dưới.
-Loaị gãy này thường gặp do cơ chế chấn thương trực tiếp.
II. XUẤT ĐỘ:
Gãy Galeazzi chiếm 3-6% gãy xương chi trên, và 7% gãy xương cẳng tay. Thường gặp ở đàn ông.

III. CHẨN ĐOÁN
1. Lâm sàng:
-Biến dạng chi thể vùng 1/3 dưới: sưng nề, xương quay ngắn lại, góc mở ra ngoài, bàn tay vẹo ra ngoài.
-Điểm đau chói 1/3D xương quay và khớp quay-trụ dưới.
-Lạo xạo xương + Cữ động bất thường 1/3D xương quay.
-Mỏm trâm quay lên cao.
2. Cận lâm sàng: Xq cẳng tay-cổ tay thẳng - nghiêng: chẩn đoán xác định.
IV. BIẾN CHỨNG
1 .Sớm: Gãy xương hở.
2. Muộn:
-Hạn chế động tác sấp ngữa cẳng tay.
-Chậm liền xương -khớp giả.
-Liền lệch vẹo, biến dạng chi (di lệch chồng là biến chứng thường gặp: làm cho khớp quay-trụ dưới vẫn bị sai khớp, dẫn đến hạn chế sấp ngữa cẳng tay).
V. ĐIỀU TRỊ
-Nguyên tắc: Phục hồi tốt hình thể xương quay để tạo điều kiện phục hồi khớp quay-trụ dưới.
-Sơ cứu: Giảm đau bằng paracetamol hay Nsaid, nẹp bột cánh bàn tay, hoặc nẹp
gồ cố định
1. Bảo tồn:
- Bó bột cánh-bàn tay đối với gãy vững hoặc gãy xương ở trẻ em.
- Bó bột cánh-bàn tay: tư thế khuỷu gấp 90 độ,cẳng tay ngữa, để bột 4-6 tuần.
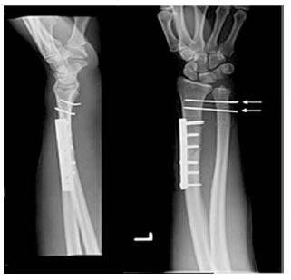
2. Phẫu thuật:
- Đối với gãy xương hở, gãy chéo vát, nắn chỉnh không hết di lệch hoặc di lệch thứ phát trong bột.
- Kết hợp xương nẹp vít xương quay, nếu khớp quay trụ dưới không vững thì xuyên 02 định kirtschner tư thế cẳng tay ngữa trong 4 tuần, với cẳng bàn tay trong nẹp bột

GÃY HAI XƯƠNG CẲNG TAY
I. ĐỊNH NGHĨA
Gãy thân 2 xương cẳng tay là gãy đoạn thân xương có màng liên cốt bám, nghĩa là vào khoảng 2cm dưới mấu nhị đầu (xương quay) và trên nếp gấp cổ tay 5cm
IL XUẤTĐỘ
Gãy hai xương cẳng tay chiếm 15-20% các gãy xương ở vùng cẳng tay. Gặp ở mọi lứa tuổi. Là loại gãy xương có di lệch tương đối phức tạp, nhất là gãy 1/3 trên, nắn chỉnh hình khó khăn.
III. PHÂN LOẠI
Thường dùng nhất là phân loại của AO:
-Nhóm A gãy xương quay hoặc/ và xương trụ với đường gãy ngang/ chéo.
-Nhóm B gãy xương quay hoặc/ và xương trụ với đường gãy có mảnh hỉnh chêm.
-Nhóm C gãy xương quay hoặc/ và xương trụ với đường gãy phức tạp nát/ nhiều tầng.
IV. CHẨN ĐOÁN
1. Lâm sàng:
-Biến dạng cẳng tay, sưng đau, mất cơ năng cẳng bàn tay.
-Đánh giá tình trạng thần kinh mạch máu: mạch quay trụ, thần kinh quay giữa trụ.
-Đánh giá tình trạng gãy hở thường xảy ra vì xương trụ nằm dưới da.
-Sưng đau nhiều kéo dài, đau khi vận động thụ động các ngón tay
2. Cận lâm sàng:
X quang:
Phim thẳng và phim nghiêng vùng cẳng tay.
Phim phải lấy được hai khớp khuỷu và cẳng tay.
V. BIẾN CHỨNG
1 Biến chứng sớm
-Sốc chấn thương và tắc mạch máu do mỡ ít khi gặp trừ khi kết hợp nhiều tổn thương khác.
Biến chứng thường gặp là:
-Chèn ép khoang: cẳng tay có 3 khoang, thường gặp chèn ép ở khoang trước (hội chứng Volkmann).
-Chèn ép mạch máu, thần kinh.
-Chọc thủng da dẫn đến gãy hở.
2. Biến chứng muộn
-Can lệch khớp giả
-Hội chứng Volkmnn: Do chèn ép khoang điều trị không tốt.
-Hội chứng rối loạn dinh dưỡng: Do bất động lâu ngày và không luyện tập dẫn đến teo cơ, loãng xương hạn chế vận động khớp.
VI. ĐIỀU TRỊ
1. Sơ cứu
-Gây tê ổ gãy: Dùng novocain 1 - 2% 10 ml cho mỗi bên hoặc paracetamol truyền, NSAID..
-Đặt nẹp cố định: Nẹp gỗ, nẹp Cramer. Nên để cẳng tay ngửa khi đặt nẹp (để khi chụp X-quang không phải tháo nẹp).
2. Đỉều trị thực thụ
a. Điều trị bảo tồn:
-Chỉ định cho loại gãy đơn giản (nhóm A) hoặc gãy ở trẻ em hoặc chống chỉ định phẫu thuật
-Nắn kín và bó bột cánh - bàn tay khuỷu gấp 04 tuần sau đó chuyển bột cẳng bàn tay hoặc nẹp vải cẳng tay 2-3 tuần
-Phải đặt ở thế cẳng tay thích hợp tuỳ theo vị trí gãy: Nếu gãy 1/3 trên cẳng tay thì để ngửa hoàn toàn, còn gãy 2/3 dưới cẳng tay thì để ngửa nhẹ hoặc trung tính
b. Điều trị phẫu thuật
Chỉ định cho các trường hợp gãy phức tạp (nhóm B,c ), nắn bó bột thất bại, gãy hở....’
Phẫu thuật nhằm mục đích nắn lại chính xác và dùng dụng cụ KHX (như định, nẹp, vis) khung cố định ngoài
GÃY ĐẦU DƯỚI XƯƠNG QUAY
I. ĐỊNH NGHĨA
Là loại gãy xương xãy ra từ mỏm trâm quay lên trên không quá 40mm.
II. XUẤT ĐỘ
-Gãy đầu dưới xương quay (ĐDXQ) chiếm tỉ lệ gần 1/6 của tất cả loại gãy xương.
-Phần lớn gãy xương ở người lớn tuổi là gãy ngoài khớp trong khi đó gãy thấu khớp ở người trẻ tuổi chiếm tỉ lệ cao hơn.
-Phần lớn gãy xương do loãng xương là do té ngã, trong khi đó phần lớn gãy xương ở người trẻ là do tai nạn giao thông và thể thao.
-Yếu tố nguy cơ gãy ĐDXQ ở người lớn tuổi do giảm mật độ xương, giới nữ, di truyền, và mãn kinh sớm được xem là những yếu tố nguy cơ.
III. PHÂN LOẠI
Có nhiều phân loại gãy ĐDXQ: Pouteau-Colles, Barton, Goyrand-Smith, Chauffeur’s, Frykman, AO...
Femandez đề nghị bảng phân loại dựa trên cơ chế chấn thương, tổn thương dây chằng khớp quay trụ dưới và hướng điều trị.
PHÂN LOẠI GÃY ĐẦU DƯỚI XƯƠNG QUAY THEO FERNANDEZ
Loại gãy ở người lớn dựa trên cơ chế chấn thương | Vững / không vững | Kiểu di lệch | Số mảnh gãy | Tổn thương đi kèm |
Loại I kiểu gãy uốn cong đầu xương | Vững / không vững | Gãy Pouteau-Colles không di lệch, Gãy Smith | Luôn có 2 mãnh chính | Thường không có |
Loại II gãy xé mặt khớp | Không vững | Barton mặt lưng, Barton mặt lòng kết hợp | 2 mãnh, 3 mãnh hoặc nát | Thường không có |
Loại III gãy lún mặt khớp | Vững / không vững | Không di lệch mặt lưng, di lệch mặt lòng, kết hợp | 2 mãnh, 3 mãnh, 4 mãnh hoặc nát | Thường có |
Loại IV gãy kèm trật khớp quay cổ tay | Không vững | Mặt lưng mặt lòng kết hợp | 2 phần (mỏm trâm quay, trâm trụ) 3 phần (phía mặt lòng và mặt lưng) | Thường có |
Loại V gãy kết hợp (I,II,III,IV,V), lực chấn thương mạnh | Không vững | Mặt lưng mặt lòng kết hợp | Gãy nát và mặt xương | Thường có |
IV. CHẨN ĐOÁN
1. Lâm sàng
-Sưng nề, biến dạng vùng cổ tay.
-Nhìn phía mặt: Bàn tay vẹo ra ngoài, trục cẳng tay không qua ngón giữa, mà qua ngón IV-V, bờ ngoài cẳng tay, bàn tay tạo nên Hình Lưỡi Lê.
-Nhìn nghiêng: Bàn tay lệch ra sau, đầu ngoại vi gồ ra sau tạo nên hình Lưng đĩa ở trên khớp. Điểm đau chói tại ỗ gãy.
-Đầu gãy nhô ra dưới da. Mỏm Trâm Quay lên cao hơn Mỏm Trâm Trụ (bình thường MTQ thấp hơn MTT 15-2cm).
2. Cận lâm sàng
X-quang:
Bình diện trước sau, Bình diện bên, Chụp chếch chéo
CT-scan: đánh giá chính xác mặt khớp
V. BIÉN CHỨNG
1 .Biến chứng sớm
Sốc do đau, gãy hở, chèn ép thần kinh giữa
2.Biến chứng muộn
• Can lệch
• Khớp giả
• Hội chứng ống cổ tay
• Hội chứng rối loạn dinh dưỡng: Do bất động lâu ngày và không luyện tập dẫn đến teo cơ, loãng xương hạn chế vận động khớp.
VI. ĐIỀU TRỊ
Mục đích điều trị: cổ tay vững và không đau khi vận động.
Sơ cứu: Giảm đau bằng paracetamol hay Nsaid, nẹp bột cánh bàn tay, hoặc nẹp gỗ cố định
1. Bảo tồn: Nắn kín và bó bột.
Chỉ định trong: Gãy vững, người lớn tuổi chống chỉ định phẫu thuật
2. Phẫu thuật:
Chỉ định: Gãy thấu khớp, gãy hở, kèm theo gãy xương cổ tay, tổn thương mạch máu thần kinh, điều trị bảo tồn thất bại, gãy 2 tay.
Phương pháp: xuyên kim, kết hợp xương nẹp ốc, cố định ngoài.







